We Want to See You Smile!

Smile Gallery

Dr. Clark's treatment plan for this patient included a combination of crowns and veneers.


For this patient, Dr. Clark successfully replaced old veneers.


Crowns placed by Dr. Clark were able to improve this patient’s smile.


This patient took advantage of our Smile Design services and was able to achieve great success with veneers.


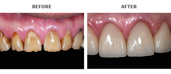
This patient suffered from worn and eroded dentition, which Dr. Clark was able to treat by restoring the teeth with conservative crowns.


This patient's front tooth was damaged in an accident. Dr. Clark was able to successfully treat the tooth with a veneer.


Dr. Clark created a ceramic bridge for this patient.


Dr. Clark treated this patient with a combination of an all ceramic implant crown and composite bonding on neighboring teeth.